| ROOT CANAL TREATMENT |
|
|
Teeth that are severely decayed or have decay deep enough to reach the pulp/nerve require a root canal. In this procedure an opening is made in the tooth & the decay(caries)is removed. Then the unhealthy, inflamed, infected pulp is removed using tiny, flexible files. Then the canals are cleaned & irrigated to receive root canal filling materials, after which the root canal space is filled. |
|
 |
|
|
|
| POST & CORE BUILD-UP |
|
|
Root canal treated teeth need to be restored with permanent restorative materials called as the build-up of that tooth.
But certain RC treated teeth are badly broken down so they need extra support to withstand the stresses of the crown with which it is going to be covered; so some of the filling material is removed from the canal to create a space for the post & then a post (screw) is subsequently inserted & then the build-up is done over such teeth. |
|
 |
|
|
|
| CROWN & BRIDGES |
|
|
Root canal treated teeth & severely broken down teeth need to be restored with a crown to restore proper esthetics & function. Crowns also become necessary when there is insufficient tooth structure to support a filling.
Bridges are a type of fixed prosthesis used to replace missing teeth .These can be fabricated when the surrounding teeth & the underlying bone are viable to receive a fixed prosthesis. |
|
 |
|
|
|
| RESTORATIVE TREATMENT |
|
|
| If the decay is not extending up to the pulp, such teeth can be restored by means of tooth-colored fillings (composites). |
|

 |
|
|
|
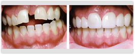
| COSMETIC TREATMENT & SMILE DESIGNING |
|
|
If you have ever wondered why do celebs have such lovely & perfect smiles & that if you could ever get it then don’t worry!!!! You are just a few steps away.
One of the ways of getting a sparkling smile is porcelain laminates & composite veneers.
Porcelain laminates are bright & more life like. However the procedure needs to be completed in two sittings wherein a tooth colored temporary is placed in between the two sittings. Composite veneers are a direct method to improve your smile. They are a single sitting procedure. However, whether a direct or indirect veneer is possible is only evaluated after clinical examination and may vary from case to case. |
|


|
|
|
IYou could use tooth jewellery to add more sparkle to your smile. It is easy, fun, affordable, painless procedure taking only 5-10 minutes of your time. |
|
 |
|
|
|
| TEETH WHITENING |
|
|
We are one of the first dental surgeons in Mumbai to use Zoom Whitening (Power bleach). This is an ultra-modern and advanced technique to make your teeth whiter thereby giving you a sparkling, dazzling and healthier smile using Zoom (USA) equipment and dental materials. It removes stains from enamel without affecting the natural shade of existing bonding veneers or crowns. This miraculous treatment gives uniformly beautiful look to your teeth in just a matter of 45-60 minutes. This treatment is extremely popular worldwide among the modelling and film fraternity.
|
|
 |
|
|
|
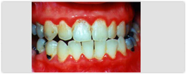
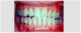
| PERIODONTAL TREATMENT (GUM TREATMENT) |
|
|
| This involves: |
|

 |
| Cleaning |
: |
Teeth have a tendency to get covered with a film of plaque. If not removed on time this plaque hardens & becomes tartar which is adherent to the teeth and has to be then removed by a dentist. |
| Sub-gingival scaling, curettage and flap surgery |
: |
This involves cleaning of teeth along with their roots for which there is a need to go under the gum sometimes when the tartar is very very deep associated with inflammation,redness,swelling& infection a deep cleaning called as curettage needs to be done. This can be done by means of raising a flap called as flap surgery |
|
|
|
|
| EXTRACTIONS, DISIMPACTION SURGERIES, IMPLANTS |
|
|
Teeth that are mobile or are severely decayed wherein even a root canal treatment becomes questionable or fractured or broken down teeth need to be extracted. This procedure is carried out by first injecting the patient with a local anaesthetic which numbs the underlying and surrounding structures thereby making it relatively painless, atraumatic and bloodless.
Sometimes a 3rd molar may not be able to erupt in the mouth due to insufficient place for it to erupt. Such a tooth is termed as an impacted tooth. Disimpaction surgery involves a cut on the gum over the unerupted tooth & some bone cutting if necessary. Depending on the position and angulations of the tooth it can be extracted either fully or in parts.
An implant is an artificial prosthesis which replaces the missing tooth. It is basically a titanium screw which is buried into the bone and left inside for a couple of months for bone to grow around it over which a crown can be placed at a later stage. |
|
|
|
|
|
| PREVENTIVE TREATMENT |
|
|
| Pit & fissure sealants |
: |
Decay most commonly occurs in small & narrow pits and fissures of molar teeth because these areas are difficult to clean. So the occurrence of decay can be prevented by using pit & fissure sealants. |
Fluoride application |
: |
For pediatric patients or children above 6 years of age fluoride treatment can be done to protect their teeth from forming any new cavities as well as strengthen the existing teeth by formation of fluorapatite |
|
|
 |
|
|
|
| ORAL HYGIENE MAINTAINENCE, BRUSHING TECHNIQUES, FLOSSING |
|
|
| These are a part of daily routine of any patient. Prevention is the best way to protect a tooth against decay. |
|
 |
| Good oral hygiene routines include: |
|
| • |
Correct Brushing technique |
| • |
Flossing regularly |
| • |
A healthy diet |
| • |
A regular visit to your dentist every 6 months |
|
|